Cena wstawienia zęba 1 w Polsce może się znacznie różnić w zależności od lokalizacji gabinetu stomatologicznego. W większych miastach, takich jak Warszawa czy Kraków, ceny mogą być wyższe niż w mniejszych miejscowościach. W Warszawie koszt implantacji zęba 1 może wynosić od 4000 do 8000 złotych, co jest związane z wyższymi kosztami utrzymania gabinetu oraz większą konkurencją na rynku usług stomatologicznych. Z kolei w mniejszych miastach, takich jak Radom czy Tarnobrzeg, ceny mogą oscylować wokół 3000 do 5000 złotych. Różnice te wynikają również z dostępności specjalistów oraz jakości używanych materiałów. Warto również zwrócić uwagę na to, że niektóre kliniki oferują promocje lub pakiety, które mogą obniżyć całkowity koszt zabiegu.
Jakie czynniki wpływają na cenę wstawienia zęba 1
Cena wstawienia zęba 1 jest uzależniona od wielu czynników, które warto rozważyć przed podjęciem decyzji o zabiegu. Po pierwsze, rodzaj implantu ma kluczowe znaczenie dla ostatecznego kosztu. Na rynku dostępne są różne typy implantów, a ich cena może się różnić w zależności od producenta oraz materiału, z którego zostały wykonane. Dodatkowo, koszty związane z zabiegiem mogą obejmować także konsultacje przedoperacyjne, zdjęcia rentgenowskie oraz ewentualne zabiegi przygotowawcze, takie jak podniesienie dna zatoki czy regeneracja kości. Kolejnym czynnikiem wpływającym na cenę jest doświadczenie i renoma stomatologa. Specjaliści o wysokiej reputacji często pobierają wyższe stawki za swoje usługi, co może być uzasadnione ich umiejętnościami oraz jakością świadczonych usług.
Jakie są alternatywy dla wstawienia zęba 1

W przypadku utraty zęba 1 istnieje kilka alternatyw dla implantacji, które mogą być mniej kosztowne lub bardziej odpowiednie dla pacjenta. Jedną z najpopularniejszych opcji jest zastosowanie mostu protetycznego, który polega na osadzeniu sztucznego zęba na sąsiednich zdrowych zębach. Mosty są zazwyczaj tańsze niż implanty i mogą być wykonane w krótszym czasie. Inną możliwością jest zastosowanie protezy ruchomej, która jest mniej inwazyjna i tańsza niż implantacja. Protezy są jednak mniej stabilne i mogą wymagać częstszej wymiany lub dostosowania. Warto również rozważyć leczenie ortodontyczne, jeśli brak zęba wpływa na układ zgryzu lub estetykę uśmiechu.
Jakie są opinie pacjentów o wstawieniu zęba 1
Opinie pacjentów dotyczące wstawienia zęba 1 są bardzo różnorodne i często zależą od doświadczeń związanych z samym zabiegiem oraz efektem końcowym. Wiele osób chwali sobie implanty za ich naturalny wygląd oraz funkcjonalność, porównując je do własnych zębów. Pacjenci często podkreślają komfort noszenia implantów oraz brak problemów podczas jedzenia czy mówienia. Jednak niektórzy pacjenci mogą mieć obawy związane z bólem pooperacyjnym lub czasem rekonwalescencji. Ważnym aspektem jest także cena zabiegu – wiele osób wskazuje na wysokie koszty jako istotny czynnik decydujący o wyborze metody leczenia. Warto również zwrócić uwagę na opinie dotyczące konkretnego stomatologa lub kliniki, ponieważ doświadczenie specjalisty ma ogromny wpływ na przebieg całego procesu leczenia oraz satysfakcję pacjenta.
Jakie są najczęstsze pytania dotyczące wstawienia zęba 1
Wstawienie zęba 1 budzi wiele pytań i wątpliwości wśród pacjentów, którzy rozważają ten zabieg. Jednym z najczęściej zadawanych pytań jest to, jak długo trwa cały proces od konsultacji do zakończenia leczenia. Zazwyczaj implantacja zęba wymaga kilku wizyt u stomatologa, a całkowity czas leczenia może wynosić od kilku miesięcy do roku, w zależności od indywidualnych potrzeb pacjenta oraz stanu zdrowia jamy ustnej. Innym istotnym pytaniem jest to, czy zabieg jest bolesny. W większości przypadków stosuje się znieczulenie miejscowe, co sprawia, że pacjenci nie odczuwają bólu podczas samej procedury. Po zabiegu mogą wystąpić pewne dolegliwości bólowe, które można złagodzić za pomocą leków przeciwbólowych. Pacjenci często pytają także o czas rekonwalescencji oraz o to, kiedy będą mogli wrócić do normalnego życia. Warto podkreślić, że każdy organizm jest inny i czas gojenia może się różnić, jednak większość osób wraca do codziennych aktywności w ciągu kilku dni po zabiegu.
Jakie są zalety i wady wstawienia zęba 1
Decyzja o wstawieniu zęba 1 wiąże się zarówno z zaletami, jak i wadami, które warto rozważyć przed podjęciem ostatecznej decyzji. Do głównych zalet należy naturalny wygląd implantów oraz ich funkcjonalność. Implanty są zaprojektowane tak, aby naśladować naturalne zęby, co sprawia, że pacjenci czują się komfortowo podczas jedzenia i mówienia. Dodatkowo, implanty pomagają zachować strukturę kości szczęki, co jest istotne dla długoterminowego zdrowia jamy ustnej. Kolejną zaletą jest ich trwałość – przy odpowiedniej pielęgnacji mogą służyć przez wiele lat. Jednakże istnieją również pewne wady związane z tym zabiegiem. Przede wszystkim koszt implantacji może być znaczny i nie każdy pacjent ma możliwość pokrycia tych wydatków. Ponadto sam zabieg wymaga przeprowadzenia chirurgicznej interwencji, co wiąże się z ryzykiem powikłań oraz dłuższym czasem rekonwalescencji w porównaniu do innych metod protetycznych.
Jak przygotować się do wstawienia zęba 1
Przygotowanie do wstawienia zęba 1 jest kluczowym etapem procesu leczenia i może wpłynąć na jego powodzenie. Na początku warto umówić się na konsultację ze stomatologiem, który oceni stan zdrowia jamy ustnej oraz zaproponuje najlepszą metodę leczenia. W trakcie wizyty lekarz przeprowadzi dokładne badanie oraz wykona zdjęcia rentgenowskie, aby ocenić stan kości szczęki i określić, czy konieczne są dodatkowe zabiegi przygotowawcze. Ważne jest również omówienie wszelkich leków przyjmowanych przez pacjenta oraz historii medycznej, aby uniknąć potencjalnych komplikacji. Przed samym zabiegiem pacjent powinien zadbać o odpowiednią higienę jamy ustnej oraz unikać palenia papierosów i spożywania alkoholu przez kilka dni przed planowaną datą implantacji, ponieważ te czynniki mogą wpłynąć na proces gojenia. Warto także przygotować się psychicznie na zabieg – rozmowa z dentystą na temat przebiegu procedury oraz ewentualnych obaw może pomóc w zmniejszeniu stresu przed operacją.
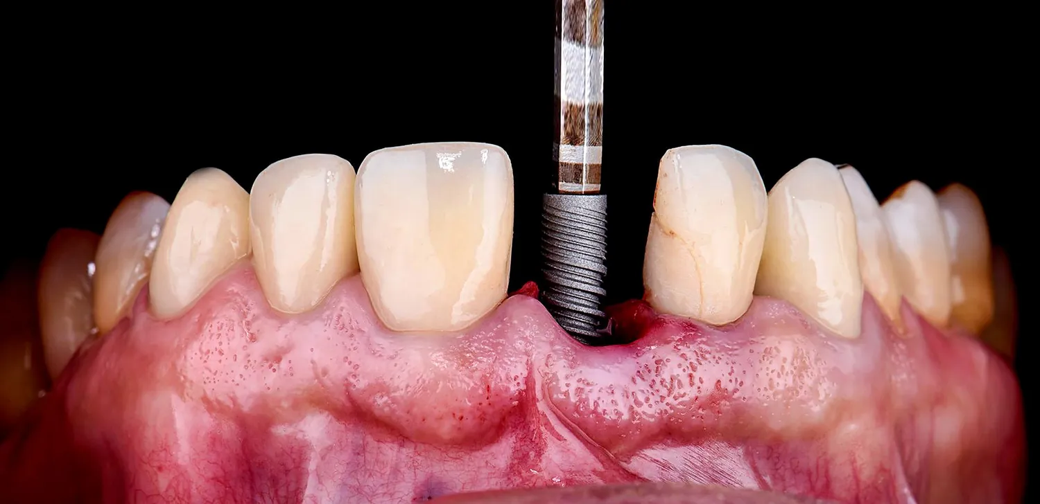
Jak wygląda proces wstawienia zęba 1 krok po kroku
Proces wstawienia zęba 1 składa się z kilku kluczowych etapów, które są niezbędne do osiągnięcia satysfakcjonującego rezultatu. Pierwszym krokiem jest konsultacja ze stomatologiem, który oceni stan zdrowia jamy ustnej pacjenta oraz zaplanuje dalsze działania. Po wykonaniu zdjęć rentgenowskich lekarz podejmie decyzję o konieczności przeprowadzenia dodatkowych zabiegów przygotowawczych, takich jak regeneracja kości czy podniesienie dna zatoki szczękowej. Następnie przechodzi się do właściwego etapu implantacji – podczas tego zabiegu stomatolog umieszcza implant w kości szczęki pod znieczuleniem miejscowym. Po zakończeniu tej procedury następuje okres gojenia trwający zazwyczaj od kilku tygodni do kilku miesięcy – w tym czasie implant integruje się z kością szczęki. Po zakończeniu procesu gojenia następuje kolejna wizytacja u stomatologa, podczas której lekarz zakłada koronę protetyczną na wcześniej umieszczony implant.
Jak dbać o nowego implanta po wstawieniu zęba 1
Prawidłowa pielęgnacja implanta po jego wstawieniu jest kluczowa dla zapewnienia jego długotrwałej funkcjonalności i estetyki. Po pierwsze, należy przestrzegać zasad higieny jamy ustnej – regularne szczotkowanie zębów dwa razy dziennie oraz stosowanie nici dentystycznej są niezbędne do utrzymania czystości wokół implanta i zapobiegania infekcjom. Ponadto warto używać płynów do płukania jamy ustnej zawierających antybakteryjne składniki, które pomogą utrzymać zdrowie dziąseł wokół implanta. Należy również unikać twardych pokarmów oraz nadmiernego obciążania nowego implanta przez pierwsze kilka tygodni po zabiegu; to pozwoli na prawidłowe gojenie się tkanek wokół implanta. Regularne wizyty kontrolne u stomatologa są równie istotne – lekarz będzie mógł monitorować stan implanta oraz otaczających tkanek miękkich i szybko reagować na ewentualne problemy.
Jakie są koszty dodatkowych usług związanych z wstawieniem zęba 1
Koszty związane z wstawieniem zęba 1 mogą obejmować nie tylko samą implantację, ale także szereg dodatkowych usług, które mogą być niezbędne przed lub po zabiegu. Przykładowo, jeśli pacjent wymaga regeneracji kości lub podniesienia dna zatoki szczękowej przed umieszczeniem implantu, te procedury mogą znacząco zwiększyć całkowity koszt leczenia. Koszt regeneracji kości może wynosić od kilkuset do kilku tysięcy złotych w zależności od zakresu potrzebnych działań oraz zastosowanych materiałów. Dodatkowo warto uwzględnić koszty konsultacji specjalistycznych czy badań diagnostycznych takich jak tomografia komputerowa czy zdjęcia rentgenowskie; te usługi również mogą generować dodatkowe wydatki dla pacjenta. Po zakończeniu procesu implantacji konieczne może być wykonanie korony protetycznej na implancie; cena korony zależy od materiału użytego do jej produkcji i może wynosić od kilkuset do nawet kilku tysięcy złotych za sztukę.




